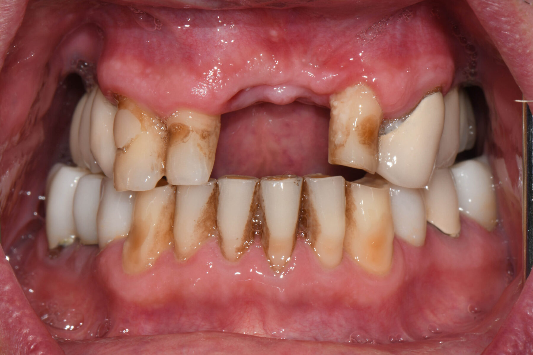
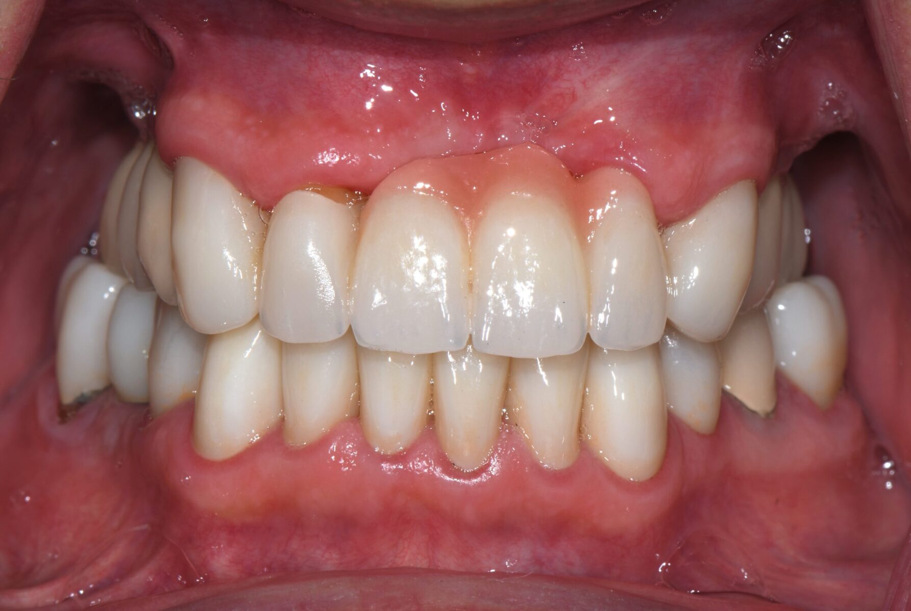
What is a Dental Bridge?

Dental bridges are custom-made restorations that fill the gap created by one or more missing teeth. They are designed to blend seamlessly with your natural teeth in color, shape, and size. Bridges are commonly used for:

  • Replacing a missing tooth when a dental implant is not an option
  • Replacing a missing tooth when adjacent teeth also require a crown
  • Restoring a broken or worn-down tooth next to a missing tooth