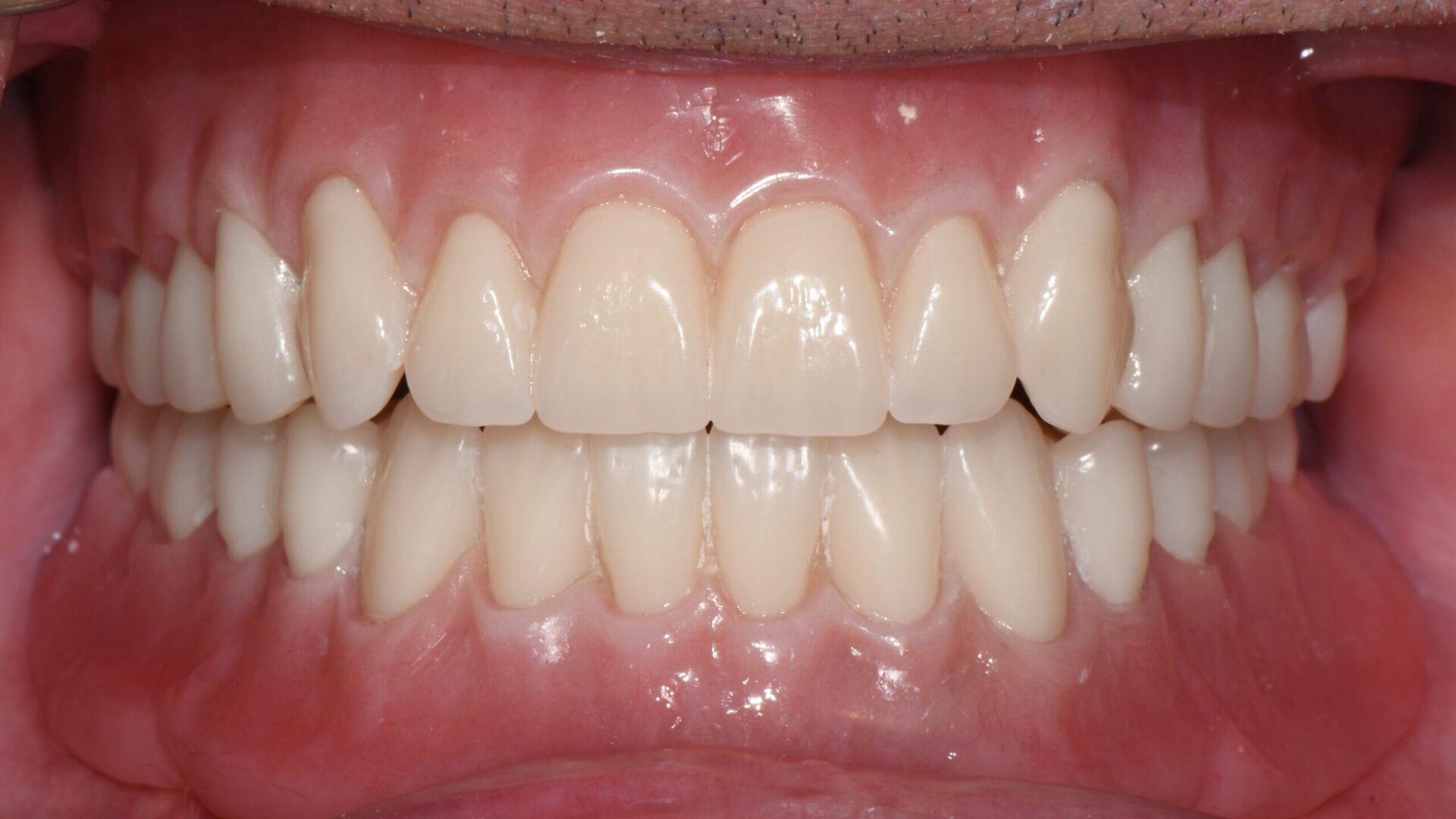
What are Complete Dentures?
Dentures sometimes referred to as “plates” are custom-made dental prosthetics that replace missing teeth and restore your smile and function. They are designed to match the color, shape, and size of your natural teeth.
Dentures are commonly used for:
- Replacing missing teeth for improved function
- Enhancing facial esthetics and confidence
- Restoring the ability to chew and speak clearly
- Supporting the structure of your cheeks and lips

