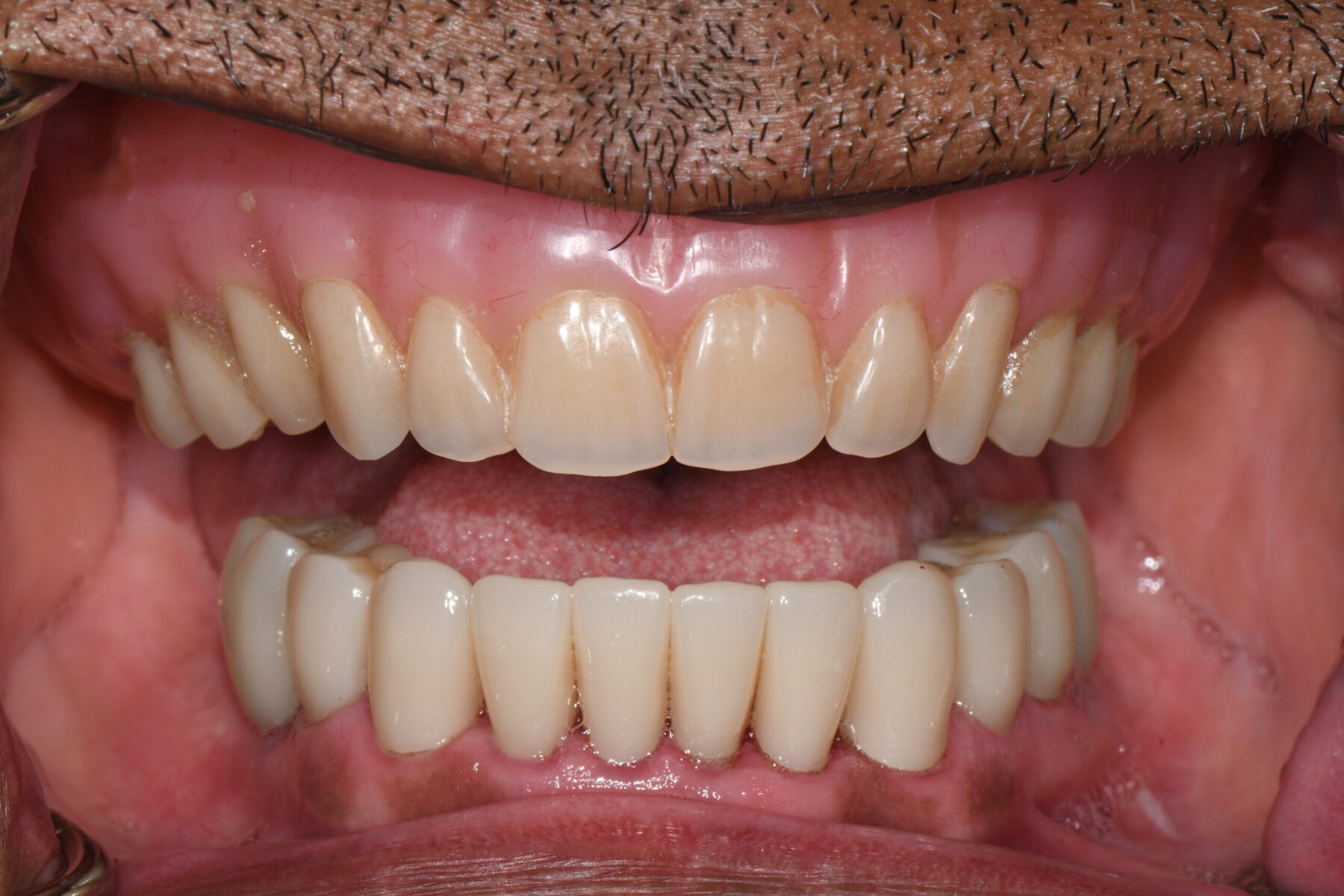
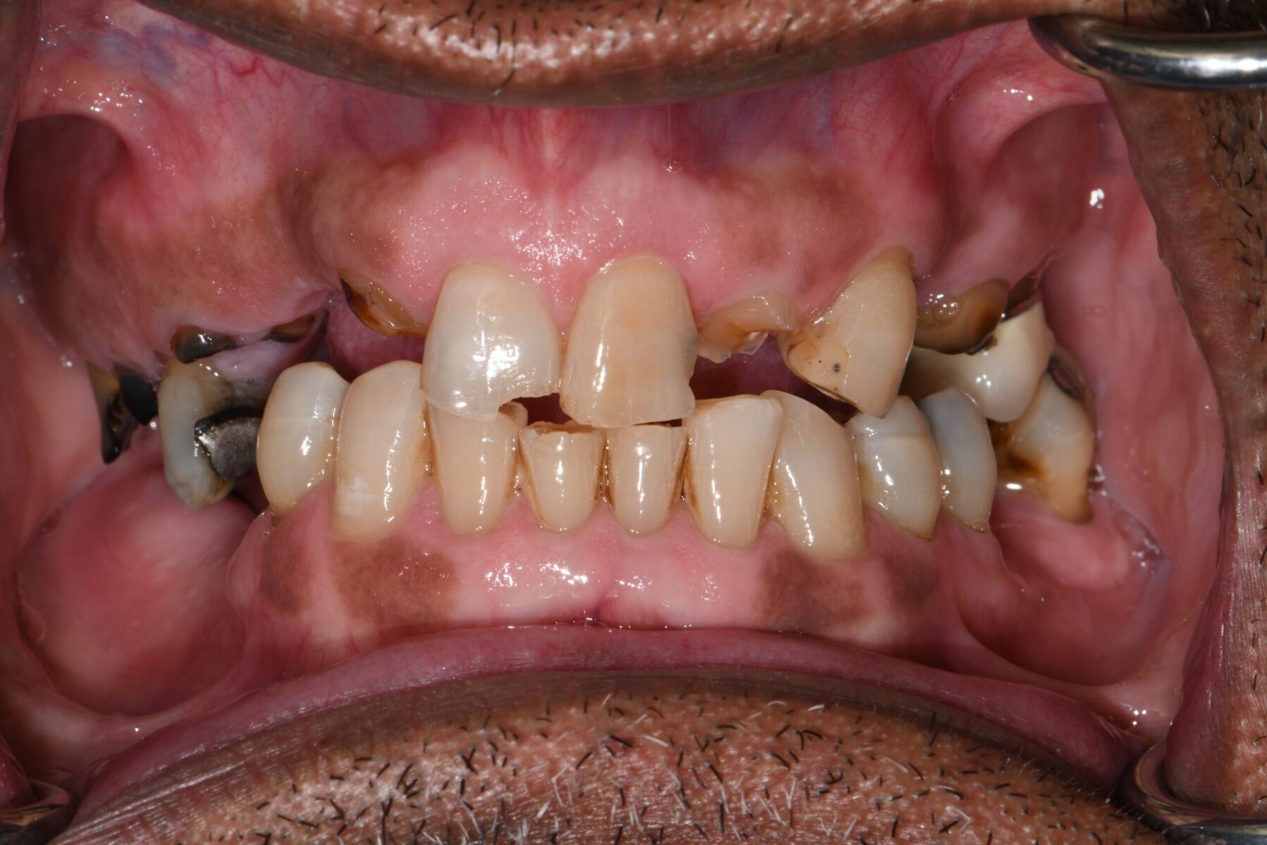
What is a Dental Crown?
Dental crowns are custom-made restorations that cover damaged or weakened teeth. They are crafted to match the color, shape, and size of your natural teeth. Crowns are commonly used for:
- Enhancing the appearance of discolored or misshapen teeth
- Strengthening a tooth after a root canal
- Protecting a weak tooth from further damage
- Restoring a broken or worn-down tooth

