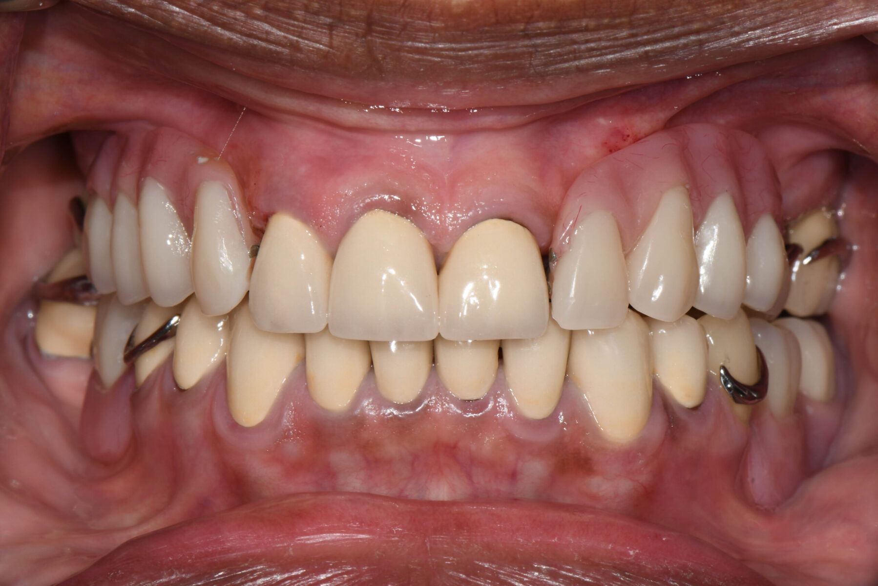
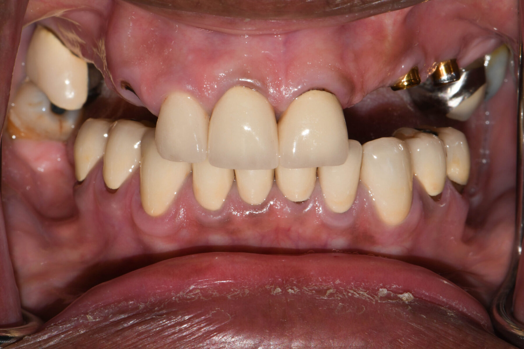
What are Partial Dentures?

Removable partial dentures (RPDs) (sometimes referred to as “partials” or “partial plates”) are custom-made dental prosthetics that replace missing teeth and restore your smile and function. They are designed to match the color, shape, and size of your natural teeth.

RPDs are commonly used for:

  • Replacing missing teeth for improved function
  • Enhancing facial esthetics and confidence
  • Restoring the ability to chew and speak clearly
  • Supporting the structure of your cheeks and lips