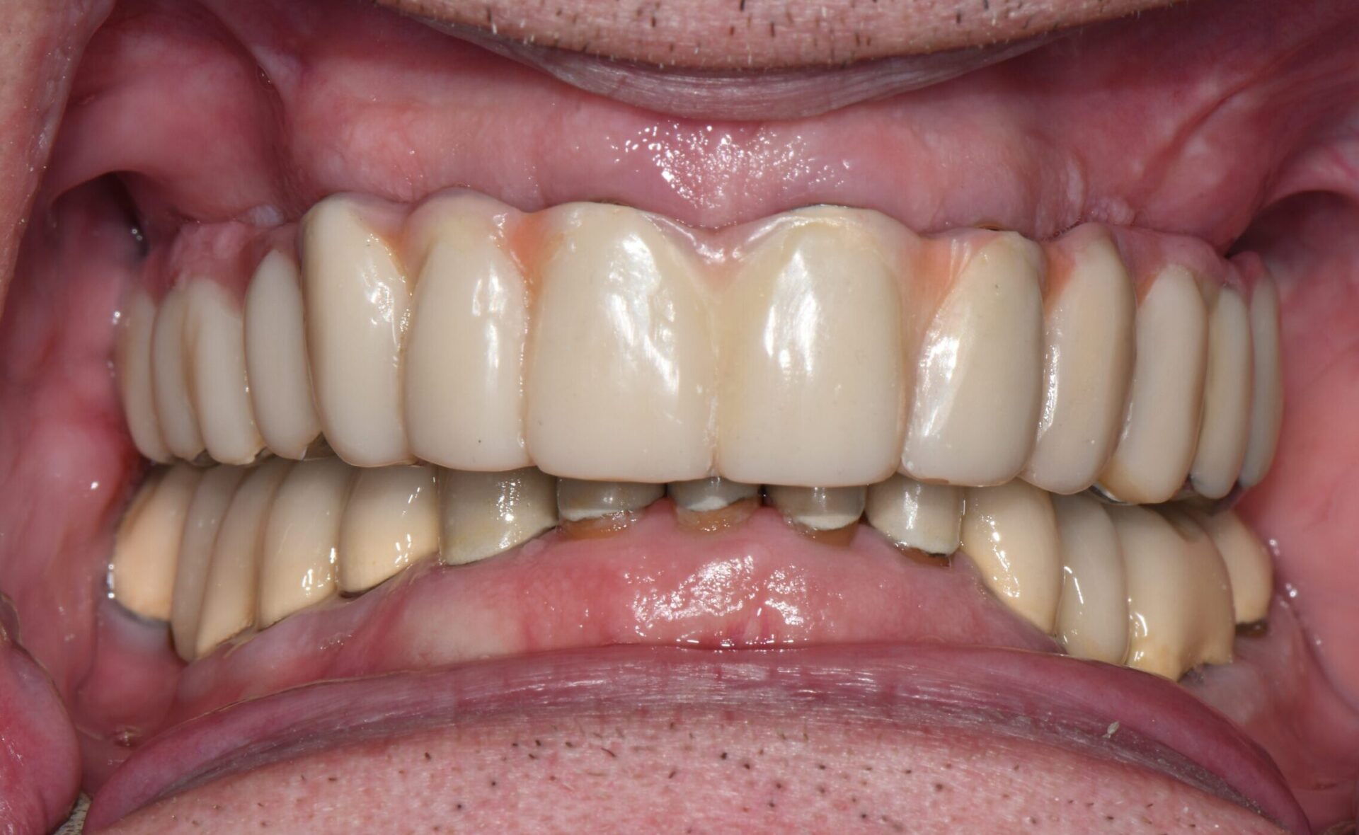
What are Telescopic Dentures?
Telescopic overdentures are advanced prosthetic restorations that replace missing teeth while restoring both the appearance and function of your smile. Designed to fit comfortably over the gums, these overdentures utilize a unique double-crown system that engages with dental implants or natural teeth, providing enhanced retention and stability while covering minimal gum tissue compared to traditional complete dentures.
They are commonly used for:
- Supporting periodontally compromised teeth
- Replacing missing teeth for improved function and stability
- Enhancing facial aesthetics and boosting confidence
- Restoring the ability to chew and speak clearly with excellent retention
- Supporting the structure of your cheeks and lips for a natural appearance
Prosthodontics Limited, PC, is one of the few practices in the United States that provides telescopic overdentures due to their complex design.
