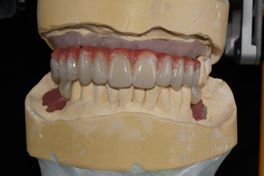
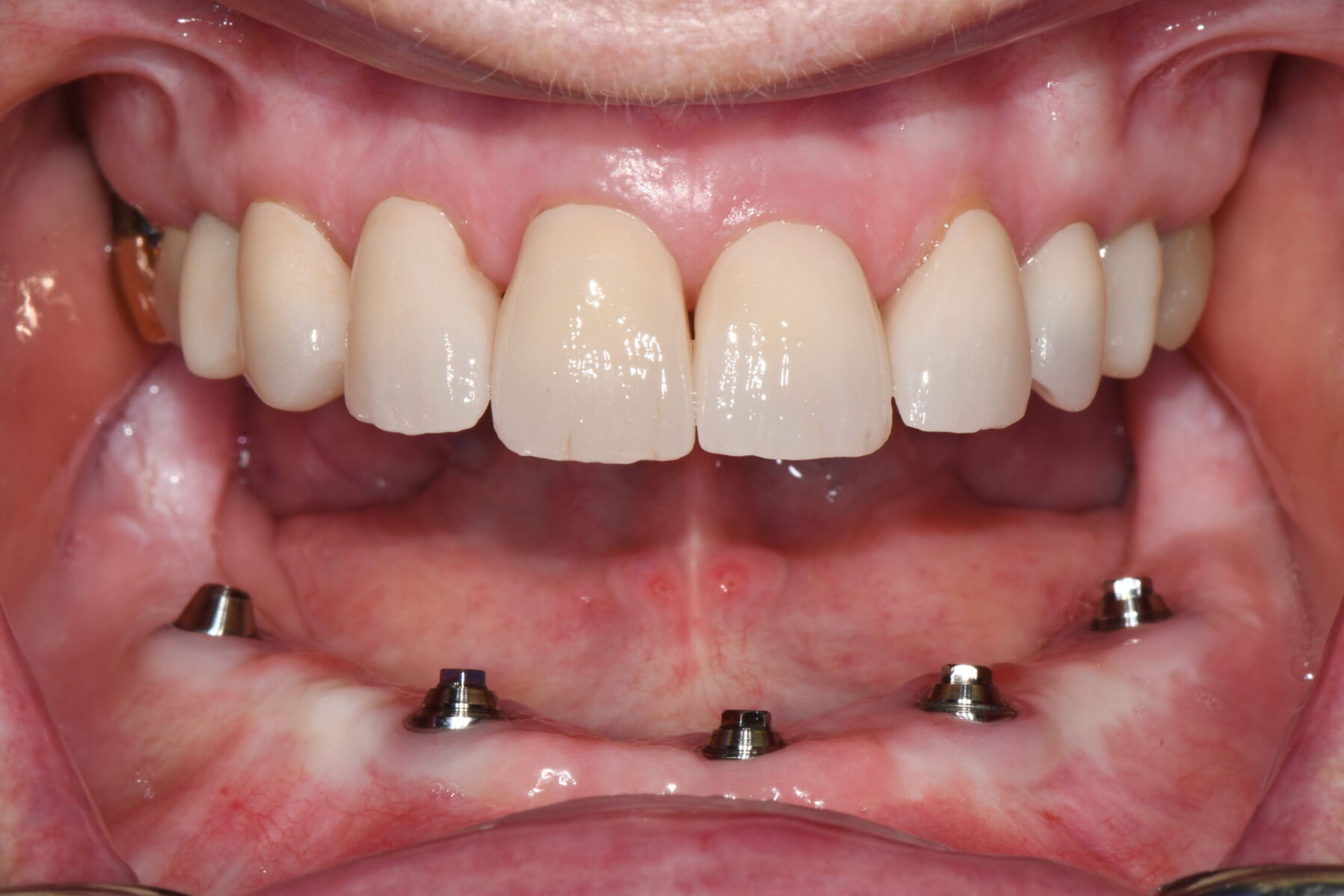
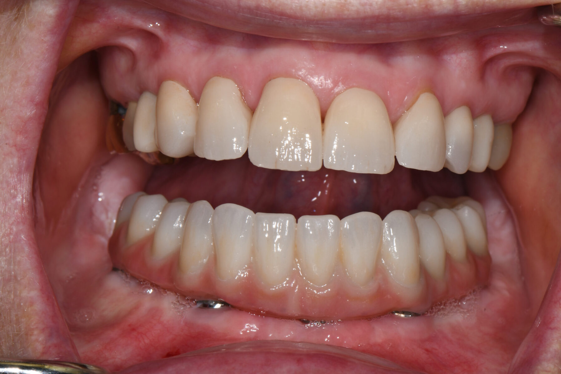
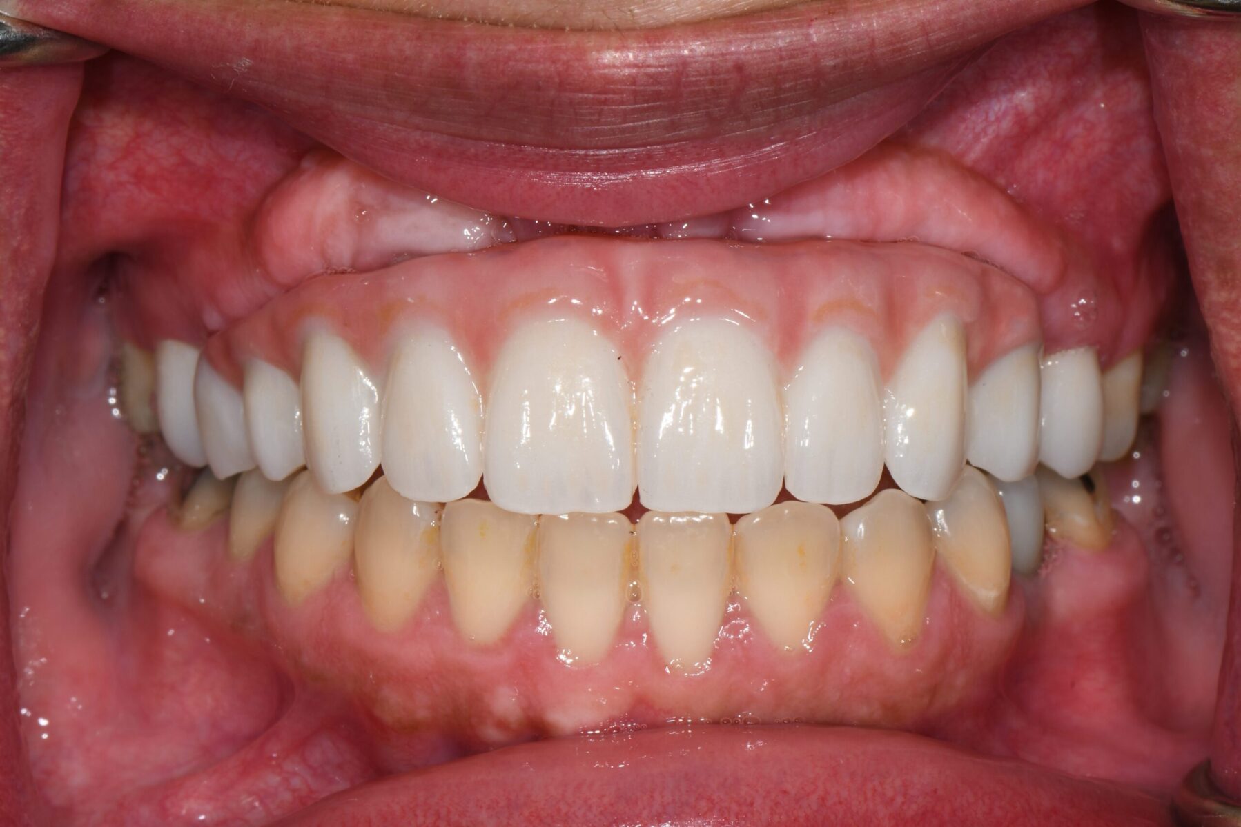
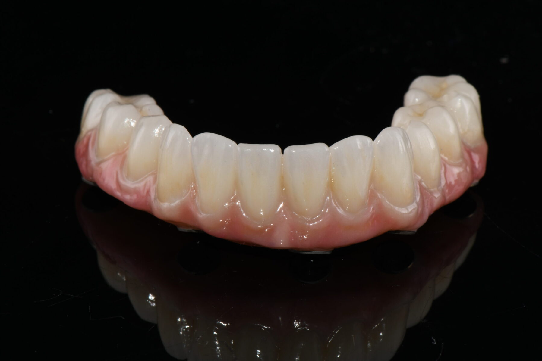
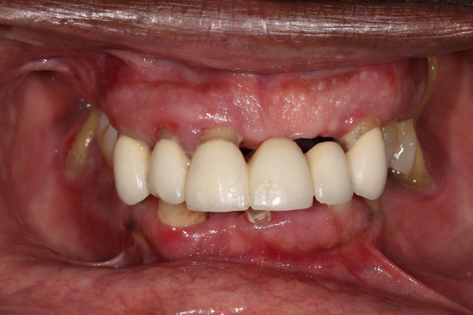
What is All-On-X?
All-On-X are sometimes referred to as hybrid dentures, fixed-implant-supported dentures or fixed dentures.
They are custom-designed dental prosthetics that are anchored securely to dental implants, providing superior stability and support while being designed to match the color, shape, and size of your natural teeth.
They are commonly used for:
- Replacing multiple missing teeth for improved function and stability
- Enhancing facial esthetics and boosting confidence
- Restoring the ability to chew and speak clearly
- Supporting the structure of your cheeks and lips for a natural appearance

