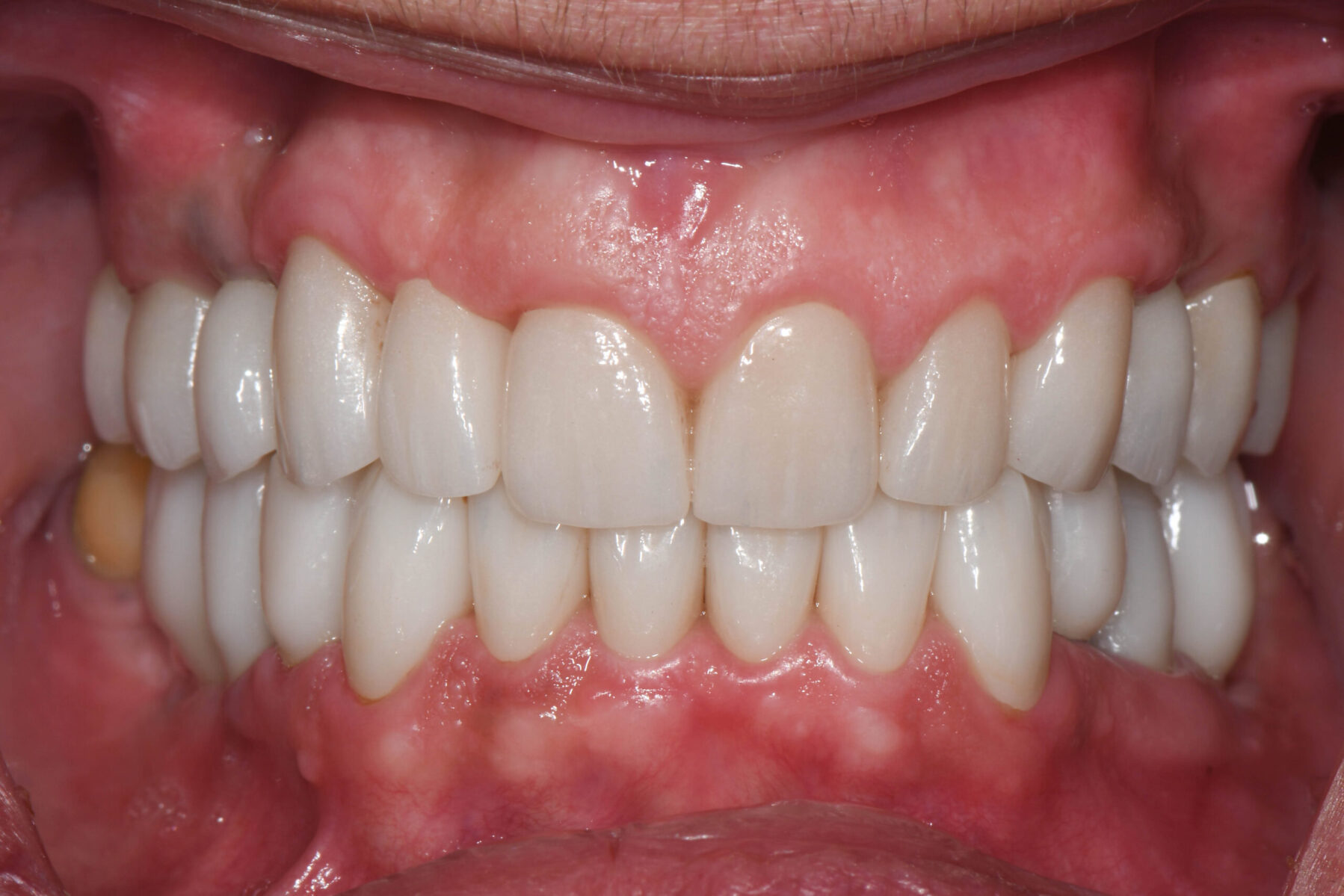
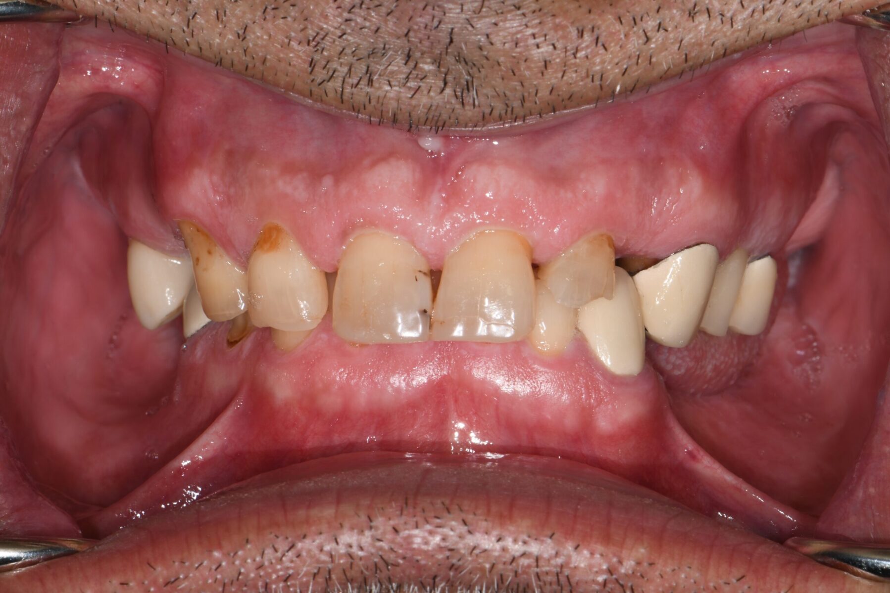
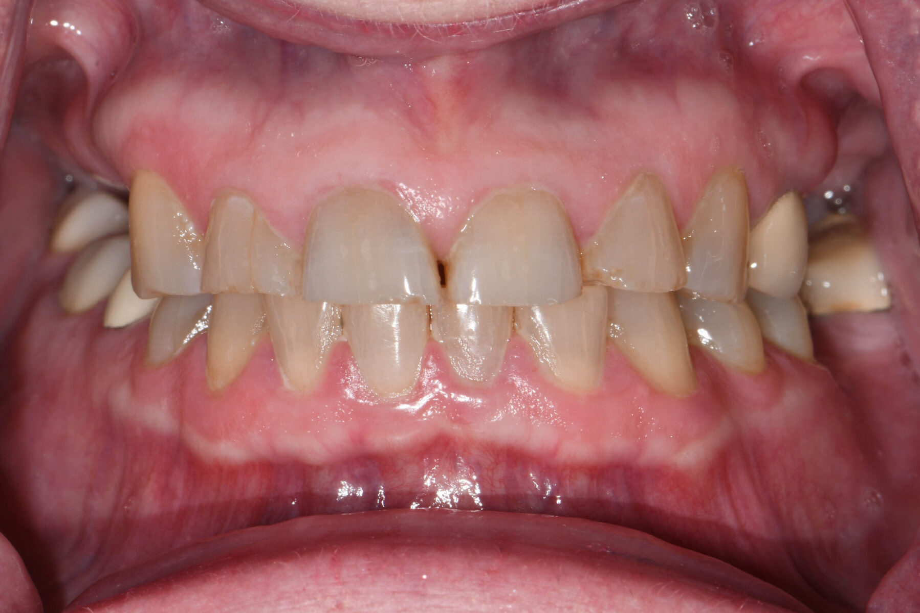
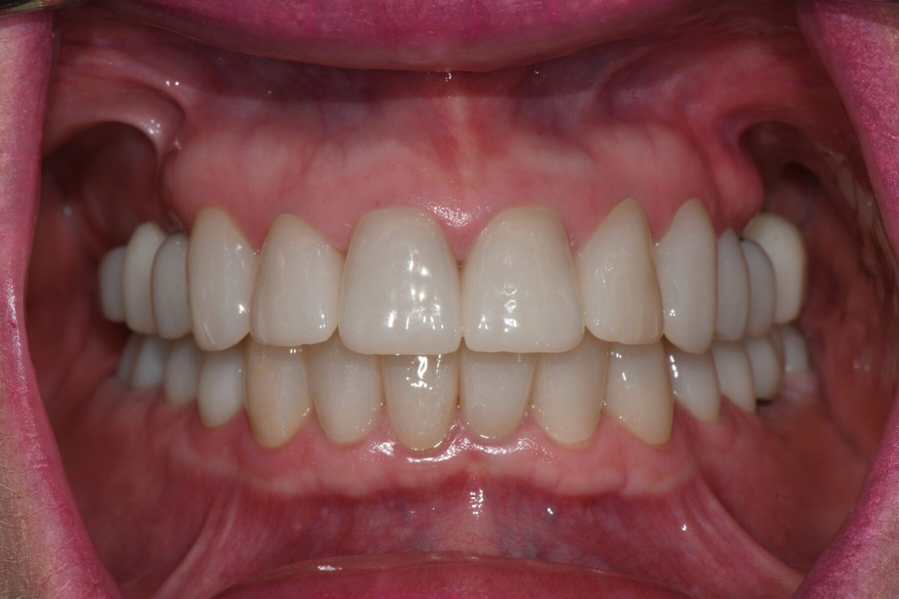
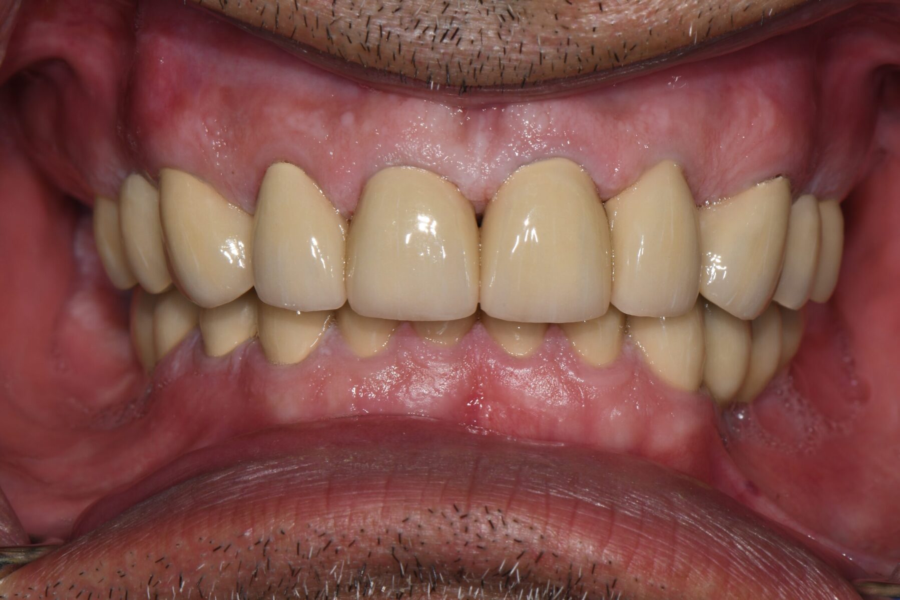
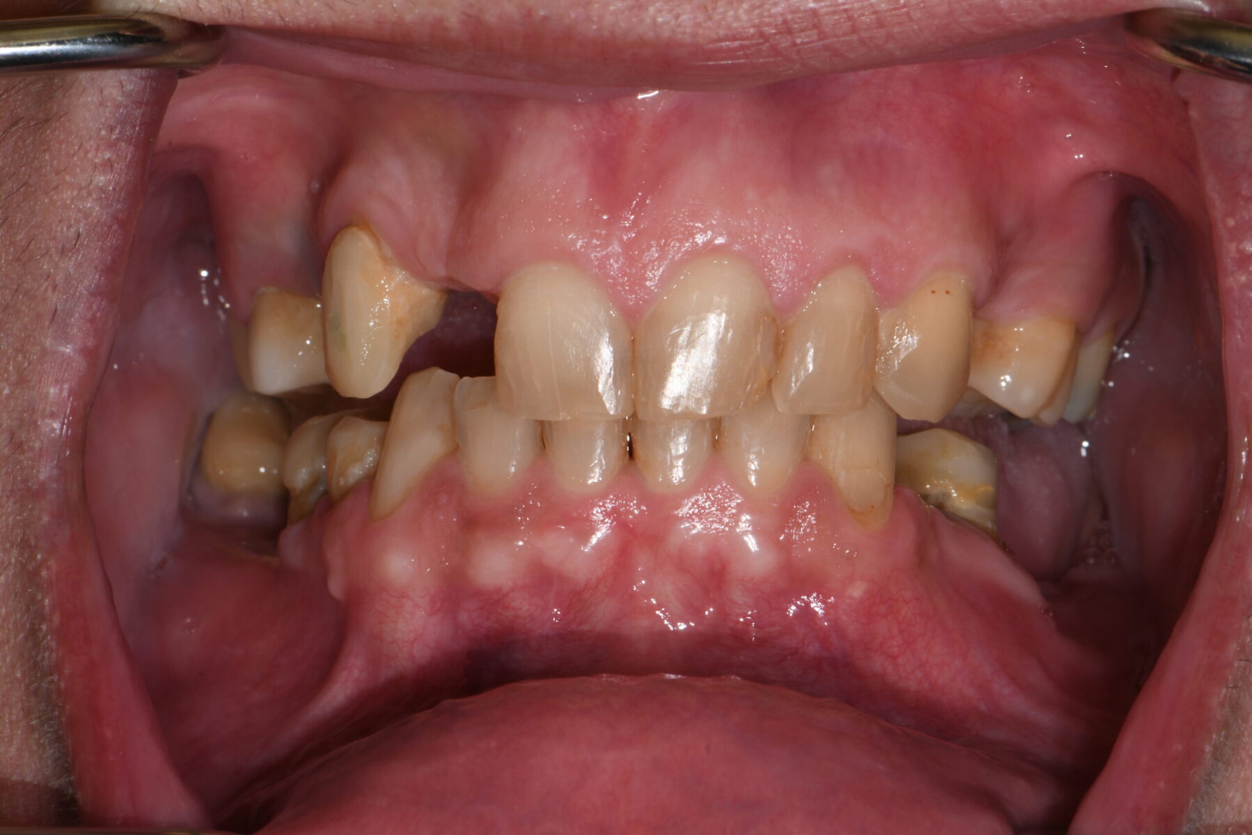
What is a Full Mouth Rehabilitation?

Full mouth rehabilitation encompasses a range of restorative dental procedures aimed at restoring the function, health, and esthetics of your entire mouth.

This may involve the use of crowns to protect and reinforce weakened teeth, dental implants to replace missing teeth, and veneers to improve the appearance of discolored or damaged teeth. Each treatment is tailored to match the color, shape, and size of your natural teeth, ensuring a cohesive and beautiful smile.

Commonly used for:

  • Restoring multiple missing or damaged teeth for improved function and stability
  • Enhancing facial esthetics and boosting self-confidence
  • Restoring worn down teeth from grinding, clenching, or traumatic occlusion
  • Supporting optimal oral health and overall dental function