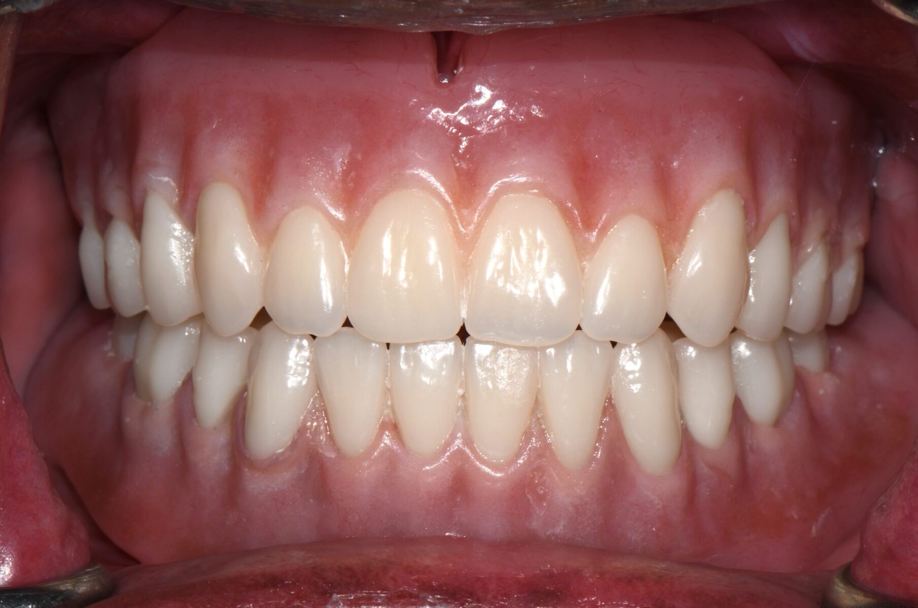
What are Dental Implant Overdentures ?
Implant-retained overdentures are custom-made dental prosthetics that replace missing teeth while providing enhanced stability and support. Designed to match the color, shape, and size of your natural teeth, these overdentures are secured to dental implants, offering a more secure fit.
They are commonly used for:
- Replacing missing teeth for improved function and stability
- Enhancing facial aesthetics and boosting confidence
- Restoring the ability to chew and speak clearly with greater comfort
- Supporting the structure of your cheeks and lips for a natural appearance
DENTURES OUTSIDE MOUTH

DENTURES INSIDE THE MOUTH
