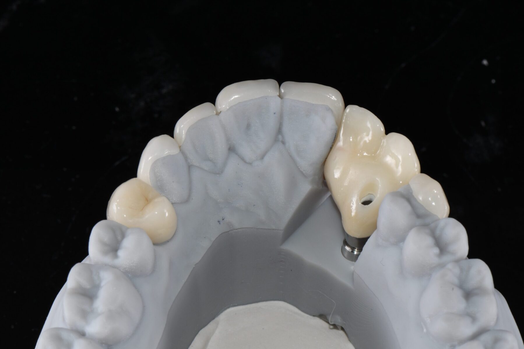
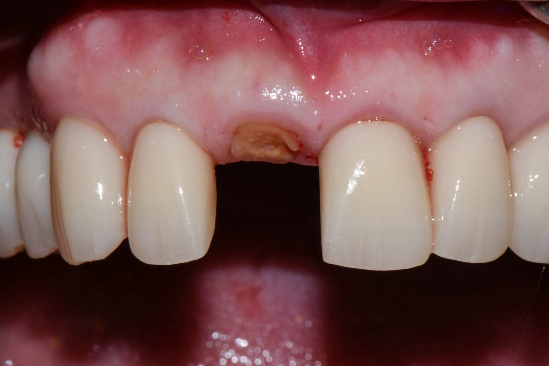
What are Implant Crowns & Bridges?

Implant crowns and bridges are custom-made restorations that replace the visible portion of missing tooth or teeth. They are crafted to match the color, shape, and size of your natural teeth. Implant restorations may be affixed directly to an implant or attached to an abutment, which is a coping that engages into the implant.